Wir korrigieren Zahnfehlstellungen sanft und diskret – mit modernen, fast unsichtbaren Alignerschienen.

Aligner.png

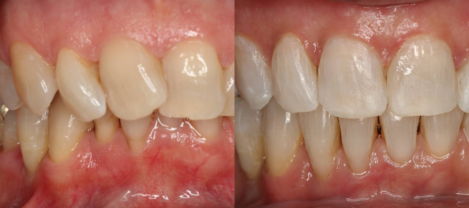
Schiefe Zähne, Lücken oder Engstände müssen kein Dauerzustand sein. Mit modernen Alignern korrigieren wir diskret – ganz ohne Metallspangen.

“Individuelle Behandlungen statt Fließbandmedizin.” (4).jpg
  • Unsichtbar im Alltag
  • Herausnehmbar zum Essen & Zähneputzen
  • Komfortabel & sanft
  • Vorher-Nachher-Planung in 3D
  • Digitaler 3D-Scan ohne Abformmaterial

Nur 4 Schritte zu Deinem schönsten Lächeln

 

1.

Beratung & 3D-Scan

3A0CCD70-F629-4C71-9C47-16971730523E.PNG

Wir analysieren Dein Lächeln und beraten dich.

  • Wir machen einen 3D-Scan von Deiner aktuellen Zahnstellung
  • Ohne Abformmasse!

 

2.

Behandlungsplan & Vorschau

coach-image-cid-871-1704132167043-jpilfp.jpg

Du siehst vorab Dein mögliches Endergebnis.

  • Wir zeigen Dir die 3D-Planung, wie das optimale Ergebnis aussehen kann
  • Es wird Dir sehr gefallen
  • Planung durch Zahnarzt und Kieferorthopäde 

 

3.

Individuelle Schienen

Content Image

Präzise gefertigt, passgenau für Deine Zähne.

  • Du bekommst Deine individuellen Schienen von uns
  • Bequem und transparent!

 

4.

Kontrolle & Betreuung

IMG_0178.jpg

Regelmäßige Überprüfung für optimale Ergebnisse.

  • Wir kontrollieren regelmäßig den Fortschritt deiner Behandlung
  • Du bist bestens versorgt
  • All Inclusive 

Patientenerfolge:

„Ich habe mich lange wegen meiner schiefen Frontzähne unwohl gefühlt. Dank der transparenten Aligner kann ich jetzt wieder unbeschwert lächeln – und niemand hat gemerkt, dass ich eine Zahnkorrektur mache. Die Behandlung war komfortabel und das Team super freundlich.“
„Als Erwachsener wollte ich keine sichtbare Zahnspange tragen. Die durchsichtigen Schienen waren perfekt für mich: angenehm zu tragen, jederzeit herausnehmbar und fast unsichtbar. Schon nach wenigen Monaten habe ich eine deutliche Verbesserung gesehen. Absolute Empfehlung!“
„Ich hätte nie gedacht, dass Zahnkorrektur im meinem Alter so unkompliziert sein kann. Die Aligner waren leicht zu reinigen, kaum spürbar und ich konnte sie zum Essen einfach herausnehmen. Ich wurde top betreut und das Ergebnis ist ein wunderschön gerades Lächeln. Danke!“

Reden wir über die Investition in Dein neues Lächeln und mehr Wohlbefinden:

Keine versteckten Kosten: Du bekommst von uns einen individuellen Behandlungsplan, auf dem ersichtlich ist, wie hoch Deine Investition sein wird.

IMG_0121.jpg

Aligner-Rundum-Sorglos-Paket

ab €85/Monat*

  • Zahlung in bis zu 72 monatlichen Teilbeträgen
  • Bei 12 Monatsraten sogar zinsfrei

*Bei einem Zahlungszeitraum von z.B. 72 Monaten und einer zugrundeliegenden Behandlungsinvestition von 4.190 € (je nach Komplexität ggfs. auch höher) ergibt sich bei einem effekt. Jahreszins von z.B. 11.56% (und einem Sollzinssatz von 10,99%) ein Gesamtpreis von 6300,10€ inkl. gesetzlicher MwSt., einschließlich einer monatlichen Rate von 79€. Hier kommst Du zum Ratenrechner unseres Abrechnungspartners: https://www.die-za.de/ratenrechner

Deine Behandlung in den qualifizierten Händen von Sebastian Kohlstetter

Mein Name ist Sebastian Kohlstetter und mit Leidenschaft und Präzision widme ich mich der Wiederherstellung Deines strahlenden Lächelns. Als zertifizierter Aligner-Anbieter freue ich mich darauf, Dir höchste Qualität und individuelle Betreuung bieten zu können.

Ich freue mich sehr auf Dich!

Sebastian Kohlstetter

IMG_8060.JPG

Häufige Fragen rund um die Aligner-Behandlung

  • Während der ersten Tage nach dem Einsetzen eines neuen Aligner-Sets kann ein leichtes Druckgefühl auftreten, da die Zähne beginnen, sich zu bewegen. Dieses Gefühl ist normalerweise mild und ein Zeichen dafür, dass die Behandlung wirkt. Schmerzmittel sind selten notwendig; falls doch, können über den Ladentisch erhältliche Schmerzmittel Abhilfe schaffen. Die meisten Patienten gewöhnen sich schnell an das Tragegefühl der Aligner und empfinden sie als weitaus komfortabler im Vergleich zu traditionellen Zahnspangen.

  • Aligner sind sehr effektiv bei der Korrektur einer Vielzahl von Zahnfehlstellungen, einschließlich Überbiss, Unterbiss, Kreuzbiss, Lückenbildung und Überfüllung. Allerdings gibt es Fälle, in denen traditionelle Zahnspangen oder chirurgische Eingriffe die bessere Wahl sein könnten. Eine umfassende Untersuchung durch uns kann bestimmen, ob Aligner für Deine spezifische Situation geeignet sind.

  • Die Dauer einer Aligner-Behandlung variiert je nach Komplexität der Zahnfehlstellung und wie genau die Anweisungen des Behandlers befolgt werden. Im Durchschnitt dauert eine Behandlung zwischen 6 und 24 Monaten. Ein entscheidender Faktor ist die Tragedauer der Aligner pro Tag; empfohlen wird eine Nutzung von mindestens 22 Stunden. Regelmäßige Kontrolltermine sind erforderlich, um den Fortschritt zu überwachen und gegebenenfalls Anpassungen vorzunehmen. Der individuelle Behandlungsplan, der vor Beginn erstellt wird, bietet eine Schätzung der Gesamtdauer basierend auf der spezifischen Situation des Patienten.
  • Jeder Fremdkörper im Mund sorgt zunächst dafür, dass sich die Aussprache leicht verändert. Anfangs kann es beim Tragen der Aligner-Schienen für einige Stunden oder wenige Tage zu einem leichten Lispeln kommen. Sofern Du Dich jedoch an die unsichtbare Zahnschiene gewöhnt hast, ist sie kaum von anderen bemerkbar. Nur bei sehr genauer Betrachtung kann Dein Umfeld einen Unterschied feststellen.
  • Solltest Du einen Aligner verlieren oder beschädigen, kontaktiere uns umgehend. Je nachdem, wo du Dich in deinem Behandlungszyklus befindest, kann es möglich sein, vorübergehend zum vorherigen Set zurückzukehren oder direkt zum nächsten Set zu wechseln, bis Ersatz bereitgestellt wird. Es ist wichtig, schnell zu handeln, um Verzögerungen in der Behandlung zu vermeiden.
  • Aligner sollten täglich gereinigt werden, um Ablagerungen und Bakterienbildung zu vermeiden. Verwende eine weiche Zahnbürste und klares Wasser, vermeide abrasive Zahnpasten, da diese die Aligner beschädigen können. Spüle die Aligner immer vor dem Einsetzen mit Wasser ab und bewahre sie sicher in der mitgelieferten Box auf, wenn Du sie nicht trägst. Vermeide heiße Temperaturen, um eine Verformung der Aligner zu verhindern.

  • Nach Abschluss der Behandlung mit unsichtbaren Zahnschienen (Alignern) trittst Du in eine wichtige Phase ein, die entscheidend ist, um die erzielten Ergebnisse zu erhalten und sicherzustellen, dass Deine Zähne in ihrer neuen Position stabil bleiben. Hier sind die wesentlichen Schritte und Überlegungen, die nach der Behandlung zu beachten sind:

    1. Bewertung der Ergebnisse: Zunächst werden wir eine abschließende Überprüfung durchführen, um sicherzustellen, dass die Behandlungsziele erreicht wurden. Dies beinhaltet in der Regel eine visuelle Untersuchung und kann auch das Anfertigen neuer Röntgenbilder oder digitaler Scans umfassen, um die Veränderungen im Vergleich zum Beginn der Behandlung zu dokumentieren.

    2. Retainer: Nach der aktiven Korrekturphase ist es üblich, dass Patienten einen Retainer tragen müssen, um die Zähne in ihrer neuen Position zu halten. Retainer können fest (dauerhaft hinter den Zähnen befestigt) oder herausnehmbar sein und sind maßgeschneidert, um perfekt zu passen. Die Tragedauer variiert je nach individuellen Empfehlungen. Aus hygienischen Gründen empfehlen wir Retainer-Schienen, also eine Retainer-Drähte. Der Retainer ist entscheidend, um ein Zurückwandern der Zähne in ihre ursprüngliche Position zu verhindern, ein Prozess, der als Rezidiv bekannt ist.

    3. Nachsorge und regelmäßige Kontrollen: Regelmäßige zahnärztliche Kontrollen bleiben auch nach Abschluss der Aligner-Behandlung wichtig. Diese Termine dienen dazu, die Gesundheit Deines Mundes zu überwachen, einschließlich der Wirksamkeit des Retainers, und um sicherzustellen, dass keine langfristigen Probleme auftreten. Wir legen die Häufigkeit dieser Termine basierend auf Deinen individuellen Bedürfnissen fest.

    4. Fortsetzung guter Mundhygienepraktiken: Eine gute Mundhygiene ist erforderlich, um deine neuen, geraden Zähne gesund zu halten. Fortgesetztes gründliches Bürsten, Zahnseide verwenden und regelmäßige professionelle Zahnreinigungen sind Schlüsselkomponenten, um das Risiko von Karies, Zahnfleischerkrankungen und anderen zahnmedizinischen Problemen zu minimieren.

    5. Langfristige Betrachtung: Während die Retainerphase zunächst als eine zusätzliche Verpflichtung erscheinen mag, ist es wichtig, sie als integralen Bestandteil Deines langfristigen zahnmedizinischen Gesundheitsplans zu betrachten. Die Aufrechterhaltung der Ergebnisse deiner Aligner-Behandlung sichert nicht nur Dein Investment in Zeit und Geld, sondern fördert auch Dein allgemeines Wohlbefinden und Selbstvertrauen.
  • Ja, es gibt Alternativen zu den durchsichtigen Zahnschienen von SureSmile. Über die Vor- und Nachteile anderer Anbieter klären wir Dich sehr gerne auf. Wir haben uns bewusst für SureSmile entschieden, weil SureSmile Leistungen anbieten, die bei anderen Anbietern mit deutlichen Mehrkosten verbunden sind.
  • Gesetzliche Krankenkassen übernehmen in der Regel keine Kosten für eine Aligner-Behandlung.
    Private Krankenversicherungen oder Zahnzusatzversicherungen können je nach Tarif einen Teil erstatten – vor allem, wenn eine medizinische Notwendigkeit (z. B. Kieferfehlstellung) besteht.

    👉 Tipp: Reiche unseren detaillierten Heil- und Kostenplan bei Deiner Versicherung ein, um im Vorfeld Erstattungsfragen zu klären.

Vorteile von unsichtbaren Zahnschienen (Alignern) im Vergleich zu klassischen Zahnspangen

1

Unsichtbar & ästhetisch ansprechend

Unsichtbare Zahnschienen – auch Aligner genannt – sind aus transparentem, glattem Kunststoff gefertigt und damit nahezu unsichtbar. Im Gegensatz zu auffälligen Metallbrackets können Erwachsene und Jugendliche ihre Zähne diskret korrigieren, ohne sich über ihr Erscheinungsbild Sorgen zu machen. Besonders im Berufsleben oder bei wichtigen Anlässen ist diese unauffällige Zahnkorrektur ein großer Vorteil.

2

Hoher Tragekomfort & Flexibilität

Im Vergleich zu festen Zahnspangen mit Drähten und Metallteilen sind Aligner deutlich angenehmer zu tragen. Die glatten Kunststoffschienen verursachen kaum Reizungen an Zahnfleisch oder Wangeninnenseiten. Druckstellen, Kratzer und schmerzhafte Anpassungen gehören damit weitgehend der Vergangenheit an.

Unsichtbare Zahnschienen lassen sich problemlos an die persönlichen Bedürfnisse anpassen. Ob für wichtige Termine, Fotoshootings oder Sport – die Aligner können kurzfristig herausgenommen werden. So bleibt Dein Alltag flexibel, ohne dass die Behandlung unterbrochen wird.

3

Herausnehmbar & hygienisch

Ein entscheidender Pluspunkt von Alignern ist ihre Abnehmbarkeit. Zum Zähneputzen und zur Anwendung von Zahnseide können die Schienen einfach entfernt werden. Dadurch lässt sich die Mundhygiene während der gesamten Behandlung optimal aufrechterhalten und das Risiko für Karies oder Zahnfleischentzündungen bleibt gering.

4

Keine Einschränkungen beim Essen

Bei einer festen Zahnspange müssen Patienten oft auf bestimmte Lebensmittel verzichten, um Drähte und Brackets nicht zu beschädigen. Mit Alignern gibt es diese Einschränkungen nicht: Die Schienen werden zum Essen und Trinken einfach herausgenommen. So bleiben Sie flexibel und genießen weiterhin alle Speisen ohne Sorgen.

5

Präzise Planung & vorhersagbares Ergebnis

Dank moderner 3D-Scan-Technologie können Zahnärzte und Kieferorthopäden den gesamten Behandlungsverlauf bereits im Voraus planen. Patienten erhalten eine digitale Vorschau ihres neuen Lächelns, bevor die Therapie startet. Diese präzise Planung und die gezielte Kraftübertragung der Aligner ermöglichen oft eine kürzere Behandlungszeit als bei herkömmlichen Zahnspangen.

Bühlenstraße 59 71088 Holzgerlingen.jpg

Bühlenstraße 59

71088 Holzgerlingen

Tel.: 07031 60 62 42

Fax: 07031 60 60 47

Email: info(at)zahnarztpraxis-kohlstetter.de